quer recuperar seu sorriso com o melhor dentista do Guarujá?
Trazemos o seu seu sorriso novamente. Oferecemos um atendimento humanizado, de excelência e alta qualidade, com especialistas dedicados a realizar o seu sonho. |Venha sorrir novamente e faça seu planejamento gratuito !
|NÃO ACEITAMOS CONVÊNIO|
Dr.Ricardo montenegro | CRO SP-147.837
Procurando o melhor dentista 24hrs no Guarujá ?
Na nossa clínica particular, cuidamos do seu sorriso com tecnologia de ponta e total conforto, segurança |Clínica particular – não atendemos convênio
Não adie o cuidado com seu sorriso.
Atendimento odontológico especializado para tratar dor, recuperar a saúde bucal e devolver a confiança ao seu sorriso. O Dr. Ricardo Montenegro traz seu sorriso e autoestima de volta, abrangendo todas as especialidade com profissionais altamente capacitados.
| Agende sua avaliação e volte a sorrir com confiança.
DR. RICARDO MONTENEGRO
CRO/SP-147.837
-
IMPLANTODONTIA
-
PRÓTESE
-
ENDODONTIA
-
PERIODONTIA
-
CIRURGIA
-
DENTÍSTICA ESTÉTICA
QUEM SOMOS ?
UM TIME REPLETO DE EXPERIÊNCIA
Desde o primeiro dia, nossa missão sempre foi oferecer um atendimento de excelência, com confiança e um toque humano que faz toda a diferença.
Com dedicação e amor à odontologia, crescemos e nos consolidamos no Guarujá, e desde então nossos pacientes seguem recomendando o trabalho do especialista em implantodontia Dr. Ricardo Montenegro, um dos dentistas mais bem avaliados e indicados para implantes, próteses e tratamento de canal.
TRANSFORMAÇÕES







Por que planejar seu implante conosco ?
- PLANEJAMENTO DIGITAL - visando + sucesso nos resultados, fazemos parte do processo com um software avançado.
- PAGAMENTO FACILITADO - entendemos que, seu sorriso e sua funcionalidade são importantes e por isso facilitamos seu pagamento.
- MATERIAIS DE ALTA PERFORMACE - nossos profissionais ultilizão materiais de alta performace para um procedimento + seguro.
- SORRISO NATURAL E ESTÉTICO - transformamos a sua vida novamente mantendo o seu sorriso natural e perfeitamente estético.
- RECUPERAÇÃO DA MASTIGAÇÃO E PALADAR - conosco, você poderá comer novamente.







Por que planejar seu implante conosco?
- PLANEJAMENTO DIGITAL - Para garantir resultados superiores, utilizamos softwares de última geração em nosso planejamento.
- PAGAMENTO FACILITADO -Sabemos que a estética e a funcionalidade do seu sorriso são fundamentais. Por esse motivo, oferecemos condições facilitadas de pagamento.
- MATERIAIS DE ALTA PERFORMANCE - Utilizamos materiais de alta performance para garantir procedimentos mais seguros e resultados duradouros.
- SORRISO NATURAL E ESTÉTICO - Transformamos a sua vida ao devolver um sorriso natural, funcional e perfeitamente estético.
- RECUPERAÇÃO DA MASTIGAÇÃO E PALADAR - Com o nosso tratamento, você voltará a ter o prazer de comer o que quiser, com total segurança.
+ queridos
+ de 46 serviços pra você
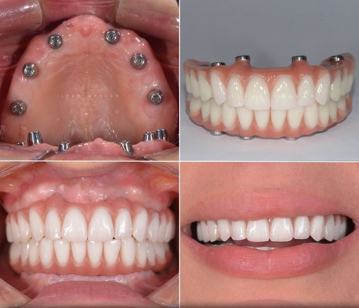
Próteses e Implantes
A prótese sobre implante são ideais para: pessoas que perderam um ou mais dentes, pacientes com dificuldade de falar ou mastigar que querem um solução segura, estética, confortável e duradoura.
Canal e Obturações
O canal é identificado com exame e avaliações, e geralmente o sintoma mais comum é a Dor intensa, já a obturação recomendada pra quem sente Sensibilidade ao comer ou beber algo doce, frio ou quente. pequenos buracos nos dentes ou dor leve ou moderada ao mastigar.
Consulta Clínica
Em nossa consulta clínica gratuita você pode vir até nós sem compromisso, pois o nosso único comprometimento é com sua saúde bucal e saúde geral, por esse motivo disponibilizamos gratuitamente as avaliações para orientar você.
Profilaxias
A profilaxia dentária é indicada para remoção de placas bacterianas e tártaros tratando assim gengivite e periodontite, além de ajudar na desinflamação da gengiva, é Ideal para pacientes que fazem tratamentos ortodônticos.
Ortodontia
A ortodontia é ideal para: pessoas com dentes desalinhados ou apinhados, pacientes que querem corrigir a linha do sorriso ou mesmo aqueles que precisam recuperar a função mastigatória.
Estética do sorriso
Os tratamentos estéticos do sorriso como clareamento dentário, gengivoplastia, facetas em resina ou porcelana (conforme a indicação) são ideais para aqueles que querem elevar a estética do seu sorriso aumentando sua autoestima, aparência e confiança no dia a dia.
Tratamento odontológico para todos
PRÓTESES SOBRE IMPLANTES
são ideais para pessoas que perderam um ou mais dentes, uma solução segura, estética, confortável e duradoura.
CANAL E OBTURAÇÕES
Técnica moderna para alívio rápido da dor e preservação do dente.
CONSULTA CLÍNICA
Em nossa consulta clínica gratuita você pode vir até nós sem compromisso, pois disponibilizamos gratuitamente as avaliações para orientar você.
PROFILAXIAS
A profilaxia dentária é indicada para remoção de placas bacterianas e tártaros tratando assim gengivite e periodontite.
ORTODONTIA
Aparelhos convencionais, autoligados e autoligado estético para alinhamento ideial
ESTÉTICA DO SORRISO
clareamento dentário, gengivoplastia, facetas em resina ou porcelana (conforme a indicação)
Emergência odontológica? Fale conosco agora mesmo!
Temos um dentista disponível 24 horas por dia para situações de urgência. Entre em contato pelo número abaixo.
